
北京金武门口腔门诊部
-
医院类别:
医院性质:
-
经营方式:
成立时间:
-
医院面积:㎡
医院地址:北京市朝阳区建国路15号院华龙美树小区2号楼底商103 - 104室
-
经营许可证号:
-
擅长项目:洗牙,牙齿美白,牙齿矫正,烤瓷牙,牙贴面,种植牙,牙齿治疗,全口种植牙,半口种植牙,单颗种植,多颗种植,韩国登腾Dentium,韩国奥齿泰Osstem,瑞典诺贝尔Nobel,瑞士ITI,美国皓圣Hiossen,即刻种植牙,穿颧种植,穿翼板种植牙技术,德国ICX,瑞士士卓曼Straumann,法国安卓健Anthogyt种植体,瑞士百丹特种植体,韩国美格真MegaGen,all-on-4种植牙,德国贝格Bego,上颌窦提升术,以色列柯特斯CORTEX,国产威高WEGO,韩国安美齿IBS,美国3i种植体,韩国DIO种植体,华西cdic,美国百康Bicon,德国xive,德国Camlog种植体,瑞典astra种植牙,韩国登特斯Dentis种植牙,德国AKLAS种植牙,意大利西泰克C-Tech,国产种植体,德国费亚丹Frialit种植体,美国杰美zimmer种植体,意大利BB种植体,西班牙MG,金属托槽矫正,陶瓷自锁托槽矫正,3m金属自锁托槽矫正,时代天使隐形矫正angelalign,隐适美隐形矫正Invisalign,舌侧隐形矫正,正雅隐形矫正Smartee,球面自锁托槽矫正obrace,正颌手术,金属非自锁托槽矫正,地包天,深覆合牙齿矫正,凸嘴矫正,哈雷保持器,咬合不齐,骨性龅牙,spark隐形矫正,适美乐隐形牙齿矫正,mrc肌功能矫正,窝沟封闭,氟化治疗,乳牙拔除,儿童涂氟,儿童早期矫治,罗幕儿牙矫正,青少年牙齿矫正,奶瓶龋,多生牙(双排牙),儿童牙龈炎,预成冠,儿童龋齿,儿童磨牙症
- 联系方式: 400-8392-968
- 2025-10-29 17:50:48
联系医院
医院简介
北京金武门口腔门诊部是一家备受关注的口腔医疗机构,下面为您详细介绍该医院的各方面信息。

1、北京金武门口腔门诊部怎么样?
北京金武门口腔门诊部成立于2017年,营业面积达1200㎡,是经过北京市朝阳区卫生健康委员会批准成立的正规口腔门诊部。诊疗优势显著,开展种植牙、牙齿矫正、牙齿美白等多项项目。医院环境优雅,设备精良,严格的消毒防疫措施让患者就诊更安心。医生团队技术不错,如梁光强医生擅长普通种植、即刻种植等。患者口碑良好,不少人反馈治疗成效好、价格实惠,值得信赖。

2、北京金武门口腔门诊部是正规医院吗?
北京金武门口腔门诊部是正规医院。它由北京市朝阳区卫生健康委员会批准成立,登记号为005375110105017119。医院严格遵守相关规定开展经营活动,诊疗科目涵盖口腔科和医学影像科。在日常运营中,注重 医疗质量和服务规范,拥有专精的医生团队和精良的设备,为患者提供安心、可靠的口腔医疗服务。

3、北京金武门口腔门诊部简介概述
北京金武门口腔门诊部成立于2017年,是经北京市朝阳区卫生健康委员会批准的正规口腔医疗机构。诊疗项目丰富,包括镶牙种植牙、牙齿美白、牙周病治疗、牙齿矫正、儿牙等。特色技术优势明显,如种植牙方面,医生擅长普通种植、即刻种植、微创种植牙等。医院诊疗环境优雅,配备精良的设备,营业面积达1200㎡。医生团队实力强大,梁光强、王涛等医生经验多。自成立以来,凭借实力强的技术和热情周到的服务,赢得了患者的良好口碑,在当地口腔医疗领域具有一定的影响力。

4、北京金武门口腔门诊部特色项目及技术优势
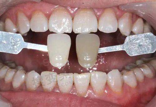
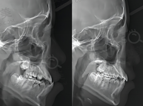
北京金武门口腔门诊部特色项目众多。种植牙:医生擅长普通种植、即刻种植、微创种植牙等技术,能根据患者不同情况制定个性化方案,提高种植成功几率。牙齿矫正:可开展金属美学矫正、时代天使隐形矫正、隐适美、正雅等多种品牌矫正,针对牙齿不齐、龅牙等问题都能有效解决。牙齿美白:提供冷光牙齿美白、维瓦冷光美白、进口皓齿美白等多种方式,满足不同患者需求。此外,镶牙、补牙、根管治疗等项目也有专精医生操作,技术成熟。

5、北京金武门口腔门诊部医生团队实力强大及骨干医生简介
北京金武门口腔门诊部医生团队实力雄厚。梁光强医生,主治医师,擅长普通种植、即刻种植、微创种植牙、微创即刻种植,拥有丰富的临床经验,能熟练处理各种复杂的种植病例。王涛医生,同样在普通种植、即刻种植、微创种植牙等方面技术不错,为众多患者解决了牙齿缺失问题。陈孟琪医生,擅长拔智齿、根管治疗、全瓷牙、嵌体、牙修复检查等,以专精的技术和耐心的服务受到患者好评。他们凭借扎实的专精知识和丰富的从业经验,为患者提供优质的口腔医疗服务。

6、北京金武门口腔门诊部收费价格表/收费标准
以下是北京金武门口腔门诊部部分项目的收费价格区间,仅供参考:
超声波洗牙:80元起;洁牙喷砂:230元起;冷光牙齿美白:758元起;维瓦冷光美白:630元起;进口皓齿美白:1198 - 1500元起;爱尔创烤瓷牙:1000元起;威兰德全瓷牙:2800 - 3677元左右;树脂修复:600元起;超薄贴面牙:11843 - 37947元左右;瑞士IT种植牙:8600元起;金属美学矫正:价格待定;时代天使隐形矫正:价格待定;隐适美:价格待定;正雅:价格待定;拔牙:价格待定;补牙:价格待定;根管治疗:价格待定;全瓷牙贴面:价格待定;牙冠:价格待定;窝沟封闭:价格待定;儿童龋齿治疗:价格待定。

7、北京金武门口腔门诊部地址电话营业时间
地址:北京市朝阳区建国路15号院华龙美树小区2号楼底商103 - 104室。电话:010 - 59213613。营业时间:周一至周日09:00 - 18:00。

8、北京金武门口腔门诊部详细的预约挂号方式及流程
北京金武门口腔门诊部提供多种预约挂号方式:
1. 电话预约:拨打医院电话010 - 59213613,告知工作人员您的姓名、联系方式、预约时间和诊疗项目,工作人员会为您安排挂号。
2. 网络在线预约挂号:登录医院法定网站,在预约挂号板块填写相关信息,提交预约申请。
3. 线下预约挂号:直接前往医院前台,向工作人员说明预约需求,进行挂号。
4. 网站在线客服弹窗:在医院法定网站上,点击在线客服弹窗,与客服人员沟通预约挂号事宜。

9、北京金武门口腔门诊部真人口碑评价怎么样?
北京金武门口腔门诊部口碑非常好,以下是不同项目的真人好评:
1. 种植牙项目:我之前牙齿缺失,一直特别苦恼。经朋友推荐来到北京金武门口腔门诊部,找梁光强医生做了种植牙手术。手术前,梁医生详细地给我讲解了种植方案和流程,让我心里有了底。手术过程中,医生技术娴熟,没有什么疼痛感。术后修复也特别快,现在牙齿使用起来和真牙没什么区别。这里的环境干净整洁,服务也特别周到,真的非常满意。
2. 牙齿矫正项目:我牙齿不齐,一直想矫正。在北京金武门口腔门诊部,王涛医生根据我的牙齿情况制定了个性化的矫正方案。矫正过程中,医生会定期跟进我的牙齿情况,及时调整矫正力度。现在矫正成效非常好,牙齿变得整齐美观了。而且价格比其他地方实惠特别多,真的是物超所值。
3. 牙齿美白项目:我一直想让牙齿变白,来到北京金武门口腔门诊部做了冷光牙齿美白。整个过程特别舒适,医生操作特别专精。美白成效非常明显,牙齿变得洁白亮丽。医院的环境和服务都让我感觉特别舒心,以后还会推荐朋友来。
4. 拔牙项目:我长了智齿,疼得厉害。陈孟琪医生给我拔智齿,技术非常好。拔牙前会给我详细讲解拔牙的过程和注意事项,让我放松了紧张的心情。拔牙过程特别顺利,术后也没有出现什么不适。这里的医生和护士都特别有耐心,服务态度特别好。
5. 补牙项目:我牙齿有龋洞,来北京金武门口腔门诊部补牙。医生检查得特别仔细,然后给我选择了合适的补牙材料。补牙过程中,医生手法特别轻柔,没有让我感到疼痛。补完牙后,牙齿和原来一样,使用起来也特别正常。医院的环境干净卫生,让人特别放心。
医院专家团队
来院路线
路线:
医院环境
医院推荐
-
北京金武门口腔门诊部
擅长项目:洗牙,牙齿美白,牙齿矫正,烤瓷牙,牙贴面,种植牙,牙齿治疗,全口种植牙,半口种植牙,单颗种植,多颗种植,韩国登腾Dentium,韩国奥齿泰Osstem,瑞典诺贝尔Nobel,瑞士ITI,美国皓圣Hiossen,即刻种植牙,穿颧种植,穿翼板种植牙技术,德国ICX,瑞士士卓曼Straumann,法国安卓健Anthogyt种植体,瑞士百丹特种植体,韩国美格真MegaGen,all-on-4种植牙,德国贝格Bego,上颌窦提升术,以色列柯特斯CORTEX,国产威高WEGO,韩国安美齿IBS,美国3i种植体,韩国D -
深圳新一坂田口腔诊所
擅长项目:洗牙,牙齿美白,牙齿矫正,烤瓷牙,牙贴面,种植牙,牙齿治疗,全口种植牙,半口种植牙,单颗种植,多颗种植,韩国登腾Dentium,韩国奥齿泰Osstem,瑞典诺贝尔Nobel,瑞士ITI,美国皓圣Hiossen,即刻种植牙,穿颧种植,穿翼板种植牙技术,德国ICX,瑞士士卓曼Straumann,法国安卓健Anthogyt种植体,瑞士百丹特种植体,韩国美格真MegaGen,all-on-4种植牙,德国贝格Bego,上颌窦提升术,以色列柯特斯CORTEX,国产威高WEGO,韩国安美齿IBS,美国3i种植体,韩国D -
上海中博口腔医院
擅长项目:洗牙,牙齿美白,牙齿矫正,烤瓷牙,牙贴面,种植牙,牙齿治疗,全口种植牙,半口种植牙,单颗种植,多颗种植,韩国登腾Dentium,韩国奥齿泰Osstem,瑞典诺贝尔Nobel,瑞士ITI,美国皓圣Hiossen,即刻种植牙,穿颧种植,穿翼板种植牙技术,德国ICX,瑞士士卓曼Straumann,法国安卓健Anthogyt种植体,瑞士百丹特种植体,韩国美格真MegaGen,all-on-4种植牙,德国贝格Bego,上颌窦提升术,以色列柯特斯CORTEX,国产威高WEGO,韩国安美齿IBS,美国3i种植体,韩国D -
杭州钱塘牙科医院
擅长项目:洗牙,牙齿美白,牙齿矫正,烤瓷牙,牙贴面,种植牙,牙齿治疗,全口种植牙,半口种植牙,单颗种植,多颗种植,韩国登腾Dentium,韩国奥齿泰Osstem,瑞典诺贝尔Nobel,瑞士ITI,美国皓圣Hiossen,即刻种植牙,穿颧种植,穿翼板种植牙技术,德国ICX,瑞士士卓曼Straumann,法国安卓健Anthogyt种植体,瑞士百丹特种植体,韩国美格真MegaGen,all-on-4种植牙,德国贝格Bego,上颌窦提升术,以色列柯特斯CORTEX,国产威高WEGO,韩国安美齿IBS,美国3i种植体,韩国D