上海薇琳口腔医院地址电话公开!肖求义种牙技术优,矫正6500元起
在上海,想要找一家靠谱的口腔医院看牙可不是件容易的事儿。不过,今天要给大家介绍的上海薇琳口腔医院,不仅地址电话公开,而且坐诊医生技术超棒,牙齿矫正价格更是低至6500元起,其中肖求义医生的种牙技术更是备受赞誉。接下来,咱们就一起深入了解一下这家医院。

上海薇琳口腔医院地址电话公开!明确就医方向
上海薇琳口腔医院的地理位置十分优越,这为患者前来就医提供了极大的便利。医院具体位于上海市静安区江宁路818号,这个地址特别容易查找。如果你乘坐公共交通前往,有多种选择。乘坐地铁的话,可乘坐地铁13号线到达江宁路站2号口,出站后步行830米左右就能到达医院;要是选择公交出行,54路、76路、113路等公交线路都能让你轻松到达。
医院的询问电话是021 - 62829999。有了这个电话,大家在就诊前遇到任何问题,比如想了解医院的具体科室分布、医生出诊时间、预约挂号流程等,都可以随时打电话询问,医院的工作人员会耐心为你解答。
另外,上海薇琳口腔医院还有一家分院,地址在上海市静安区淮安路735号9幢301 - 1室、301 - 2室、301 - 3室,电话是1937073*** 。患者可以根据自己的实际情况选择距离较近的分院就诊。

上海薇琳口腔医院坐诊医生技术测评!专精实力保护
肖求义医生是上海薇琳口腔医院的明星医生之一。他在牙齿种植、美容领域有着独特的手术操作风格和显著的优势。从业十多年来,他积累了丰富的临床经验,形成了一套完善的手术诊疗方法。对于口腔基础理论知识,他掌握得十分扎实,这使得他在实际工作中能够更加精细地诊断和治疗各种口腔问题。在种植牙方面,他能够根据患者的不同情况,如牙槽骨条件、牙齿缺失数量等,制定个性化的种植方案,种牙后的成效自然美观,患者满意度非常高。
全孝华医生也有着出色的专精背景。他曾在第九研修、韩国Angel口腔正畸研究中 心研修。丰富的学习经历让他在牙齿正畸领域有着深厚的造诣。他擅长各种正畸技术,能够熟练运用不同的矫正器为患者进行牙齿矫正。无论是金属托槽矫正、隐形矫正还是其他正畸方式,他都能根据患者的牙齿状况和需求,制定出更适合的矫正方案,帮助患者拥有整齐美观的牙齿。
除了以上两位医生,医院还有艾赛提.艾尼瓦尔、张立卫等种植牙医生和蔡中等出名的正畸医师坐诊。这些医生都具备扎实的专精知识和丰富的临床经验,他们组成了一支强大的医疗团队,能够满足广大患者不同的看牙需求,为患者的口腔健康保驾护航。

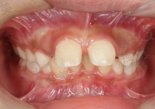
上海薇琳口腔医院牙齿矫正价格预览!经济实惠之选
上海薇琳口腔医院提供多种牙齿矫正方案,价格范围也比较广泛,能够满足不同患者的经济需求。国产金属托槽矫正价格低至6500元起,这种矫正方式价格相对较为亲民,对于那些预算有限但又想进行牙齿矫正的患者来说,是一个不错的选择。它的矫正成效也比较显著,能够有效改善牙齿排列不齐的问题。
金属自锁托槽矫正价格从15000元起。与传统的金属托槽矫正相比,金属自锁托槽矫正具有摩擦力小、矫正速度快、患者舒适度高等优点。它能够减少复诊次数,缩短矫正周期,让患者更快地拥有整齐的牙齿。
隐形矫正也是特别多患者青睐的矫正方式。时代天使comfos隐形矫正价格为15800元起,时代天使标准版隐形矫正价格为25800元起,隐适美goplus隐形矫正价格为29800元起,隐适美标准版隐形矫正价格为42000元起。隐形矫正具有美观、舒适、可自行摘戴等优点,几乎不影响患者的日常生活和社交活动,适合对美观要求较高的患者。

上海薇琳口腔医院其他项目价格及优势!全方面口腔服务
在种植牙方面,上海薇琳口腔医院也有多种选择。韩国登腾种植牙价格2999元起/颗,韩国奥齿泰种植牙(种1送2)价格6100元起/颗,韩国dio迪耀种植牙价格6800元起/颗,瑞典诺贝尔pcc种植价格9180元起/颗,美国皓圣种植牙价格6800元起/颗,瑞士iti种植牙价格8800元起,半口种植牙价格13800元起。医院在中老年人种植牙上积累了不少临床病例,顾客种牙后的口碑评价整体不错,这说明医院在种植牙技术方面有着较高的水平和丰富的经验。
牙齿贴面也是医院的特色项目之一。美加超薄瓷贴面价格2580元起/首颗,进口emax义获嘉牙齿贴面4颗价格6980元起,8颗emax义获嘉牙齿贴面价格11680元起,16颗美加超薄瓷贴面价格49800元起。瓷贴面美学修复主要适合四环素牙、烟渍牙等色素沉淀牙修复、牙缝稀疏、牙齿形态不美观等问题,能够让患者的牙齿变得更加洁白美观。
此外,医院还提供超声波洁牙、根管治疗、牙齿美白、牙周治疗、拔智齿、儿童窝沟封闭等多种口腔治疗项目。超声波洁牙价格80元起,根管治疗价格1200元起,牙齿美白价格1600元起,牙周治疗价格800元起,拔智齿价格560元起,儿童窝沟封闭价格110元起,牙齿贴面价格3200元起,牙体修复价格1500元起,牙齿冷光美白价格1800元起,牙周手术价格5600元起。这些项目的价格合理,能够为患者提供全方面、优质的口腔服务。

上海薇琳口腔医院正规资质及口碑!值得信赖之选
上海薇琳口腔医院是一家正规靠谱的口腔医院。它是时代天使、隐适美隐形矫正认证医院,是儿童口腔制定健康检查服务单位,是适美乐黑金战略合作伙伴,同时和美加品牌达成战略合作。这些认证和合作充分证明了医院的实力和专精性。
从医生资质来看,医院的医生都具备相应的专精资格证书和丰富的临床经验。他们不断学习和更新知识,提升自己的专精技能,以更好地为患者服务。医院还注重 医生的职业道德培养,要求医生以患者为中 心,提供优质、贴心的医疗服务。
在患者口碑方面,上海薇琳口腔医院也得到了广大患者的认可和好评。特别多患者在医院接受治疗后,牙齿问题得到了有效解决,对医院的技术和服务都非常满意。他们会将自己的就医体验分享给身边的人,为医院带来了良好的口碑和更多的患者。
总之,上海薇琳口腔医院地址电话公开,坐诊医生技术不错,牙齿矫正价格实惠,还有多种口腔项目可供选择。如果你有口腔问题,不妨考虑一下这家医院,相信它会给你带来满意的治疗成效。

-
西安美莱曾熬鼻子案例揭秘:海鸥线技术封神,多风格美鼻量身打造
在整形美容领域,鼻子整形热度居高不下,西安美莱的曾熬医生在这方面声名远扬。他荣誉众多,是问道鼻整形(ATR)核心成员等,还在中日友好医院进修,临床经验与专业知识丰富。 曾熬医生擅长全鼻整形与全面部脂肪填充,以“沟通细腻、手术精细”圈粉。其“海鸥线仿生榫卯隆鼻”技术厉害,采用4 + 1支架结构,结合3D精准设计与优质材料,术后效果宛如天生。 他能打造多种风格美鼻,韩系、混血风、网红风、自然妈生款都不在话下,通过不同案例帮助患者改善鼻部缺陷。手术价格合理,性价比高,且恢复优势明显,切口小、愈合快
2025-10-10 17:57:56 260次看过 -
上海时光何晋龙磨骨有名吗,磨骨技术优风格自然且可多途径预约挂号
上海时光的何晋龙医生在磨骨领域声名远扬。他是国内磨骨医生排名前十,拥有30年整形外科经验,担任我国颅颌面外科协会主席,早在2014年就有颌面专研技术,亲自操刀超4万例成功手术,还有两项颌面专有技术,实力强劲。 何医生磨骨失败几率低,术前全面检查评估,术中用导航超微创整形技术精准操作,术后全程负责,降低了手术风险。其磨骨价格相对亲民,下颌角和颧骨内推手术4万元起,得益于机构的规模化运营和成本控制。 磨骨风格上,他追求自然,会根据五官比例综合设计,避免了局部整形不协调的问题,也能根据求美者诉求打
2025-10-10 17:57:44 216次看过 -
北京奥尔贝德医院整形口碑大起底!10+网友热评,透明收费与医生技术获赞
在北京医美市场乱象丛生的当下,北京奥尔贝德医院整形口碑备受关注。这是一家经审批成立的正规中高端私立医美机构,位于国贸商圈,交通便利,周边配套丰富。 其医生团队实力雄厚,人均20年经验,还有北医三院、协和背景专家。如王阔远院长眼部修复技术出色,李方奇院长吸脂技艺精湛。 医院口碑亮点颇多,收费透明,无隐形消费;术后服务是“妈妈式关怀”;真实效果显著,大众点评评分高。它资质正规,配置高端,拥有黑科技设备,且注重个性化美商,不搞模板化造型。众多网友对其环境、医生技术和服务都高度评价,认为能带来VIP
2025-10-10 17:57:36 480次看过 -
西安正规整形医院有哪些?西安国医/高一生/艺星/画美/米兰柏羽口碑好
在西安,有整形需求的人常关心正规整形医院的选择。西安国医、高一生、艺星、画美、米兰柏羽这五家医院口碑良好且均为正规之选。 西安国医医院是综合性整形美容机构,医生团队强大,技术精良,面部轮廓重塑等手术效果自然,价格性价比高。西安高一生美容医院是本土老牌上市医美机构,临床经验丰富,有专业医生团队,引进进口器械,收费能满足不同需求。西安艺星医疗美容规模大,擅长眼鼻整形,设备先进,能保障手术安全,虽价格稍高但服务和技术有保障。西安画美医疗美容以高端定制服务著称,医生经验丰富,注重术前设计,手术技术出色
2025-10-10 17:57:22 346次看过 -
佛山爱尔眼科医院怎么样?专科水准高收费合理,口碑好还能医保报销
佛山爱尔眼科医院是一家值得信赖的眼科医疗机构。其专科水准高,配备准分子激光治疗仪等先进设备,能精准诊断治疗;汇聚经验丰富的医师,如梁先超医生手术量超4万多台;还积极开展技术创新,像SMILE全分秒激光手术优势明显。 该医院正规性有保障,隶属知名的爱尔眼科集团,具备合法资质,严格保护患者隐私。收费方面,价格合理,3000 - 40000元左右的收费在同类型医院中优势突出,且优惠活动多、收费透明。 口碑评价上,患者评价高,服务人性化,在各大平台评分也较高。同时,它还是当地医保定点单位,报销流程简
2025-10-10 17:57:12 301次看过
最新资讯
更多- 1 西安美莱曾熬鼻子案例揭秘:海鸥线技术封神,多风格美鼻量身打造
- 2 咸阳哪里补牙好又便宜,此看牙抄好的小白兔/海涛等口腔口碑佳价格优
- 3 上海长宁区中山公园附近5家平价牙科推荐,鼎植/美奥种牙实惠效果好
- 4 上海薇琳口腔医院地址电话公开!肖求义种牙技术优,矫正6500元起
- 5 南通装假牙的医院哪家好?十家医院推荐,含美奥/摩尔口腔口碑与效果
- 6 南京康贝佳口腔医院新模范马路店地址揭秘,种植牙技术优口碑好可预约
- 7 昆山根管治疗和补牙能报销吗能报销多少?广州部分项目医保至高报销 65%
- 8 苏州英博口腔地址在哪?5家分店地址/电话/收费价格/预约方式公布
- 9 拔完牙之后多久可以种植牙?需综合评估,术后耐心护理效果佳
- 10 沈阳奥乐口腔门诊部(朗月店)技术实力是否雄厚?答案是:技术实力相当强大,值得信赖且专業。
热门医院
更多-
黄石品众口腔医院
医院性质:
医院地址:洗牙,牙齿美白,牙齿矫正,烤瓷牙,牙贴面,种植牙,牙齿治疗,全口种植牙,半口种植牙,单颗种植,多颗种植,韩国登腾Dentium,韩国奥齿泰Osstem,瑞典诺贝尔Nobel,瑞士ITI,美国皓圣Hiossen,即刻种植牙,穿颧种植,穿翼板种植牙技术,德国ICX,瑞士士卓曼Straumann,法国安卓健Anthogyt种植体,瑞士百丹特种植体,韩国美格真MegaGen,all-on-4种植牙,德国贝格Bego,上颌窦提升术,以色列柯特斯CORTEX,国产威高WEGO,韩国安美齿IBS,美国3i种植体,韩国D
-
福清德恒口腔门诊
医院性质:
医院地址:洗牙,牙齿美白,牙齿矫正,烤瓷牙,牙贴面,种植牙,牙齿治疗,全口种植牙,半口种植牙,单颗种植,多颗种植,韩国登腾Dentium,韩国奥齿泰Osstem,瑞典诺贝尔Nobel,瑞士ITI,美国皓圣Hiossen,即刻种植牙,穿颧种植,穿翼板种植牙技术,德国ICX,瑞士士卓曼Straumann,法国安卓健Anthogyt种植体,瑞士百丹特种植体,韩国美格真MegaGen,all-on-4种植牙,德国贝格Bego,上颌窦提升术,以色列柯特斯CORTEX,国产威高WEGO,韩国安美齿IBS,美国3i种植体,韩国D
-
福州美橙口腔医院
医院性质:
医院地址:洗牙,牙齿美白,牙齿矫正,烤瓷牙,牙贴面,种植牙,牙齿治疗,全口种植牙,半口种植牙,单颗种植,多颗种植,韩国登腾Dentium,韩国奥齿泰Osstem,瑞典诺贝尔Nobel,瑞士ITI,美国皓圣Hiossen,即刻种植牙,穿颧种植,穿翼板种植牙技术,德国ICX,瑞士士卓曼Straumann,法国安卓健Anthogyt种植体,瑞士百丹特种植体,韩国美格真MegaGen,all-on-4种植牙,德国贝格Bego,上颌窦提升术,以色列柯特斯CORTEX,国产威高WEGO,韩国安美齿IBS,美国3i种植体,韩国D
-
衢州柯城口腔门诊
医院性质:
医院地址:洗牙,牙齿美白,牙齿矫正,烤瓷牙,牙贴面,种植牙,牙齿治疗,全口种植牙,半口种植牙,单颗种植,多颗种植,韩国登腾Dentium,韩国奥齿泰Osstem,瑞典诺贝尔Nobel,瑞士ITI,美国皓圣Hiossen,即刻种植牙,穿颧种植,穿翼板种植牙技术,德国ICX,瑞士士卓曼Straumann,法国安卓健Anthogyt种植体,瑞士百丹特种植体,韩国美格真MegaGen,all-on-4种植牙,德国贝格Bego,上颌窦提升术,以色列柯特斯CORTEX,国产威高WEGO,韩国安美齿IBS,美国3i种植体,韩国D
-
西安皓月口腔门诊
医院性质:
医院地址:洗牙,牙齿美白,牙齿矫正,烤瓷牙,牙贴面,种植牙,牙齿治疗,全口种植牙,半口种植牙,单颗种植,多颗种植,韩国登腾Dentium,韩国奥齿泰Osstem,瑞典诺贝尔Nobel,瑞士ITI,美国皓圣Hiossen,即刻种植牙,穿颧种植,穿翼板种植牙技术,德国ICX,瑞士士卓曼Straumann,法国安卓健Anthogyt种植体,瑞士百丹特种植体,韩国美格真MegaGen,all-on-4种植牙,德国贝格Bego,上颌窦提升术,以色列柯特斯CORTEX,国产威高WEGO,韩国安美齿IBS,美国3i种植体,韩国D
-
广西百色唯美口腔门诊
医院性质:
医院地址:
-
苏州博雅口腔门诊
医院性质:
医院地址:洗牙,牙齿美白,牙齿矫正,烤瓷牙,牙贴面,种植牙,牙齿治疗,全口种植牙,半口种植牙,单颗种植,多颗种植,韩国登腾Dentium,韩国奥齿泰Osstem,瑞典诺贝尔Nobel,瑞士ITI,美国皓圣Hiossen,即刻种植牙,穿颧种植,穿翼板种植牙技术,德国ICX,瑞士士卓曼Straumann,法国安卓健Anthogyt种植体,瑞士百丹特种植体,韩国美格真MegaGen,all-on-4种植牙,德国贝格Bego,上颌窦提升术,以色列柯特斯CORTEX,国产威高WEGO,韩国安美齿IBS,美国3i种植体,韩国D
-
绍兴柯桥滨海皓博士口腔门诊
医院性质:
医院地址:洗牙,牙齿美白,牙齿矫正,烤瓷牙,牙贴面,种植牙,牙齿治疗,全口种植牙,半口种植牙,单颗种植,多颗种植,韩国登腾Dentium,韩国奥齿泰Osstem,瑞典诺贝尔Nobel,瑞士ITI,美国皓圣Hiossen,即刻种植牙,穿颧种植,穿翼板种植牙技术,德国ICX,瑞士士卓曼Straumann,法国安卓健Anthogyt种植体,瑞士百丹特种植体,韩国美格真MegaGen,all-on-4种植牙,德国贝格Bego,上颌窦提升术,以色列柯特斯CORTEX,国产威高WEGO,韩国安美齿IBS,美国3i种植体,韩国D
-
北京佳景爱小心口腔门诊
医院性质:
医院地址:洗牙,牙齿美白,牙齿矫正,烤瓷牙,牙贴面,种植牙,牙齿治疗,全口种植牙,半口种植牙,单颗种植,多颗种植,韩国登腾Dentium,韩国奥齿泰Osstem,瑞典诺贝尔Nobel,瑞士ITI,美国皓圣Hiossen,即刻种植牙,穿颧种植,穿翼板种植牙技术,德国ICX,瑞士士卓曼Straumann,法国安卓健Anthogyt种植体,瑞士百丹特种植体,韩国美格真MegaGen,all-on-4种植牙,德国贝格Bego,上颌窦提升术,以色列柯特斯CORTEX,国产威高WEGO,韩国安美齿IBS,美国3i种植体,韩国D
-
贵阳德韩诚佳口腔门诊
医院性质:
医院地址:洗牙,牙齿美白,牙齿矫正,烤瓷牙,牙贴面,种植牙,牙齿治疗,全口种植牙,半口种植牙,单颗种植,多颗种植,韩国登腾Dentium,韩国奥齿泰Osstem,瑞典诺贝尔Nobel,瑞士ITI,美国皓圣Hiossen,即刻种植牙,穿颧种植,穿翼板种植牙技术,德国ICX,瑞士士卓曼Straumann,法国安卓健Anthogyt种植体,瑞士百丹特种植体,韩国美格真MegaGen,all-on-4种植牙,德国贝格Bego,上颌窦提升术,以色列柯特斯CORTEX,国产威高WEGO,韩国安美齿IBS,美国3i种植体,韩国D